Football sign
From Ask Dr Wiki
Image:Wilson American football.jpg
The ball used in American football.
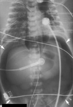
The football sign refers to a large oval radiolucency in the shape of an American football, which is seen on supine abdominal X-ray films.[1] The football sign is most frequently seen in infants with spontaneous or iatrogenic gastric perforation causing pneumoperitoneum.
See also
References
- ↑ {{#if:Rampton JW |{{#if: |[[{{{authorlink}}}|{{#if: |{{{last}}}{{#if: |, {{{first}}} }} |Rampton JW }}]] |{{#if: |{{{last}}}{{#if: |, {{{first}}} }} |Rampton JW }} }} }}{{#if:Rampton JW |{{#if: | ; {{{coauthors}}} }} }}{{#if: | ({{{date}}}) |{{#if:2004 |{{#if: | ({{{month}}} 2004) | (2004) }} }} }}{{#if:Rampton JW | . }}{{#if:Rampton JW2004 | }}{{#ifeq: | no | | {{#if: |“|"}} }}{{#if: |[{{{url}}} The football sign] |The football sign }}{{#ifeq: | no | | {{#if:|”|"}} }}{{#if: | (in {{{language}}}) }}{{#if: | ({{{format}}}) }}{{#if:Radiology |. Radiology }}{{#if:231 | 231 }}{{#if:1 | (1) }}{{#if:81-2 |: 81-2 }}{{#if: |. {{#if: |{{{location}}}: }}{{{publisher}}} }}{{#if: |. doi:{{{doi}}} }}{{#if: |. ISSN {{{issn}}} }}{{#if: |. PMID {{{pmid}}} }}{{#if: |. Bibcode: {{{bibcode}}} }}{{#if: |. OCLC {{{oclc}}} }}{{#if:PMID 14990817. Full text |. PMID 14990817. Full text }}{{#if: |. Retrieved on [[{{{accessdate}}}]]{{#if: | , [[{{{accessyear}}}]] }} }}{{#if: | Retrieved on {{{accessmonthday}}}, {{{accessyear}}} }}{{#if: | Retrieved on {{{accessdaymonth}}} {{{accessyear}}} }}{{#if: |. [{{{laysummary}}} Lay summary]{{#if: | – {{{laysource}}}}} }}{{#if: | ([[{{{laydate}}}]]) }}.{{#if: | “{{{quote}}}” }}
