Persistent Left Superior Vena Cava

From Ask Dr Wiki

Jump to: navigation, search

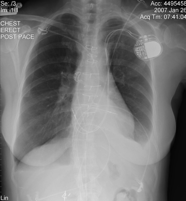
The above CXR show the atrial and ventricular pacemaker lead passing through a persistent left sided SVC.

Personal tools